अक्कलदाढ आणि अपेंडिक्स भाग २
,
मागच्या भागात आपण थोडं जाणून घेतलं दुखऱ्या अक्कल दाढेबद्दल
नंतर पुन्हा एकदा पेशंट नसताना अश्विनीने परत अक्कलदाढेचा विषय काढला “मॅडम, तुम्ही मागच्यावेळी म्हणाला होतात ना, अक्कल दाढेबद्दल अजून काही सांगायचं बाकी आहे म्हणून …”
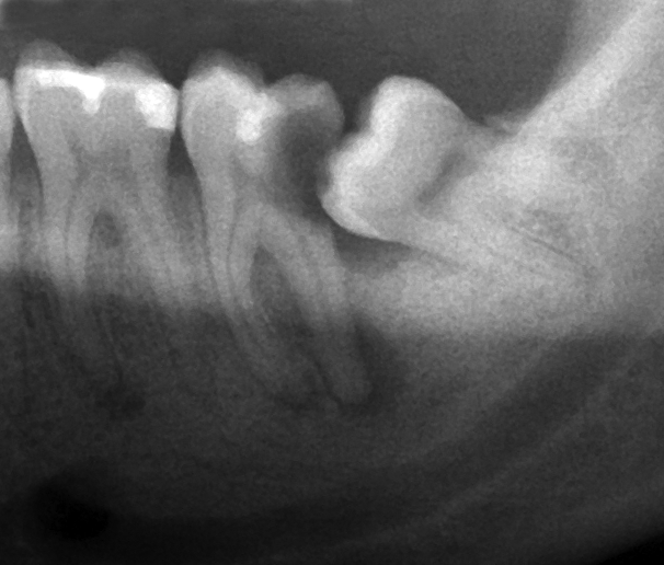
हो, अक्कलदाढेच्या बाबतीत बऱ्याच वेळा बघितलेला प्रॉब्लेम असा की, काही वेळेला अक्कलदाढ वाकडी असते. अशा दाढेमुळे बऱ्याचदा वाकडी अक्कलदाढ आणि त्या अलीकडची दाढ यांच्यामध्ये जेवण अडकतं आणि तिकडे ब्रश व्यवस्थित पोहोचत नसल्यामुळे स्वच्छता राखली जात नाही ; परिणामी कधीकधी अक्कलदाढ तर किडतेच आणि अलीकडची दाढ सुद्धा कीडते. अशा वेळी दोघांची ट्रीटमेंट करावी
लागते ’’
” हे म्हणजे ते म्हणतात ना “एक सडका आंबा बाकीच्यांना ही खराब करतो’ तसं झालं. ” अश्विनी म्हणाली.
मी म्हटलं “खरंच योग्य उपमा दिलीस…”
त्यामुळे अशी वाकडी दाढ असेल तर त्रास होण्या आधीच काढलेली बरी…
“पण ती काढण्ं कधी कधी सोपं नसतं ना? ” अश्विनी ने विचारले
“हो, अशी अक्कलदाढ काढण्यासाठी बऱ्याचदा स्पेशलिस्ट डेंटिस्टना बोलवावे लागते कारण ही दाढ वाकडी व हाडात अडकलेली असल्यामुळे बाकीच्या दातांप्रमाणे सहज निघू शकत नाही.
हे तज्ञ डेंटिस्ट छोट्याशा प्रोसीजरने ही दाढ काढतात ज्यात दाढेला हाडातून आधी थोडं ढीलं केलं जातं आणि मग काढलं जातं . कधी कधी ह्या प्रोसीजर नंतर हलकी सूज , थोडा तोंड उघडायला त्रास जाणवू शकतो ; पण आपली नेहमीची कामं व्यवस्थित पार पाडता येतात . २ दिवस मऊच खाणे खाणे, दिलेली औषधे व्यवस्थित घेणे ही पथ्ये पाळावी लागतात.
अर्थात apendix च्या ऑपरेशन च्या मानाने ही प्रोसीजर खूपच छोटी असते. “
“

0 Comments