स्वप्नाली… माझी मैत्रीण बेंगलोरला असते नोकरीनिमित्त त्या दिवशी तिचा फोन आला आला ती सुट्टी साठी काही दिवस इथे आली होती. तिला मला क्लिनिकमध्ये भेटायचं होतं . आमची क्लिनिक मध्ये भेटण्याची वेळ ठरली .
सुरुवातीला इकडच्या तिकडच्या गप्पा झाल्या, मग स्वप्नाली ने तिचं क्लिनिकमध्ये येण्याचं कारण सांगितलं.
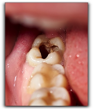
तिच्या एका दाताला खड्डा पडला होता ते दाखवण्यासाठी ती बंगलोरच्या एका डेंटिस्ट कडे गेली होती तर तेथे तपासणी आणि दाताचा एक्सरे काढल्यावर तिला दाता ची रूट कॅनल ट्रीटमेंट व कॅप करण्याविषयी सुचवण्यात आलं.
“अगं पण मला अजिबात दुखत नाहीये… सूज, पू असं काहीच नाहीये …फक्त मला त्या दातात जरा खड्डा जाणवला ,म्हणून फक्त मी दाखवायला डेंटिस्ट कडे गेले . मला तर उलट तिथून जेवता खाता पण येतंय, मग उगाच कशाला एवढी महागाची ट्रीटमेंट? तुम्ही डेंटिस्ट लोकं ना काहीही झालं की डायरेक्ट रूट कनालच सुचवता….” स्वप्नालीने काही समजून घेण्याआधीच जरा लवकरच गैरसमज करून घेतला होता .
“अगं स्वप्नाली, दुखत नाही म्हणजे प्रॉब्लेम नाहीच असं असतं का? हृदयविकाराच्या धक्क्याचं दुखणं किती तीव्र असतं, ते तुला ऐकून माहिती असेलच… पण तू कधी ऐकलं आहेस का? की काही काही लोकांना सौम्य हृदयविकाराचा झटका येऊन गेलेला असतो, पण त्यांना ते माहीतही नसतं ,नंतर जे एखाद्या तपासणीत ते समजून येतं . मला माहिती आहे की बहुतेक वेळा खराब झाला की दात दुखतो ,वपण कधी कधी खूप कमी लोकांमध्ये खूप किडूनही दात दुखत नाही.
“पण अगं थोडा तरी त्रास होतच असेल ना? असं कसं एवढा किडूनही दात दुखत नाही?” स्वप्नाली पटकन विश्वास ठेवायला तयारच नव्हती …
मग मी तिला दाताची रचना समजावू लागले,”ही बघ स्वप्नाली, दाताचा पल्प हा म्हणजे जणू दाताचा जीव असतो. त्यात दाताला पुरवठा करणाऱ्या रक्तवाहिन्या व नसा असतात. या पल्प पर्यंत जेव्हा जंतू पोहोचतात, तेव्हा साधारणपणे दात दुखतो किंवा जंतूंमुळे दातात पू झाला , तर दात दुखतो
पण कधीकधी जंतूंच्या इन्फेक्शन चा वेग खूप कमी असेल किंवा इतर कुठल्याही कारणामुळे कधीकधी दाताची नस उघडी पडून डेड होते किंवा पू जमा होतो तरीसुद्धा दात अजिबात दुखत नाही ” मी तिला समजावत म्हटलं .
“पण दुखत नसेल तर मग एवढी रूट कैनाल ट्रीटमेंट तरी कशाला करायची साधा दात भरुन किंवा कॅप लावून नाही का होणार?”
“अगं दुखत नसलं तरी दातात इन्फेक्शन असतंच ते तसंच ठेवण दात भरला किंवा cap लावली तर दात दुखतो मग ट्रीटमेंट चा काय उपयोग?”
“अच्छा, म्हणजे रूट कनाल शिवाय पर्याय नाही तर… मग त्या तिकडच्या डॉक्टर ला मी उगाचच नावं ठेवली उगाचच महागाची ट्रीटमेंट सांगतात म्हणून …. ” स्वप्नाली म्हणाली.
“ठीक आहे गं… झाला ना दूर तुझा गैरसमज?
बरं मग आता किती दिवस आहेस इथे? कारण ह्या ट्रीटमेंट साठी 2-3 वेळा यावं लागेल आणि 8 दिवस तरी लागतील “
स्वप्नालीला वेळ नसल्यामुळे पुढच्या वेळी इथे आल्यावर माझ्याकडे किंवा बंगलोरलाच ट्रीटमेंट करून घेण्याचं तिने ठरवलं…
पण निदान एका व्यक्तीच्या मनातला रूट कनाल बद्दल चा गैरसमज दूर करू शकले म्हणून मला आनंद वाटला…

0 Comments