आमच्या सोसायटीत राहणारी सानवी ६ वर्षांची.. एकुलती एक.. . खूप गोड स्वभावाची …. दोन्हीकडच्या आजीआजोबांची लाडकी.. त्यामुळे प्रत्येक हट्ट नेहमी पुरवला जात असलेली..
तिला क्लिनिक मध्ये घेऊन आई बाबा आजी आजोबा असे सगळेच आले होते . तिच्या दात दुखीमुळे अख्खं घर चिंतेत होतं .
“बघा ना हो डॉक्टर, सानवीची दाढ दुखते कालपासून…. कालपासून सारखी रडते आहे, काही खात नाही , धड झोपली पण नाही.” सानवीचे खाण्यापिण्याच्या बाबतीतले लाड मी बघितले होते ,त्यामुळे तोंडात काय परिस्थिती असेल याचा मला साधारण अंदाज होताच.
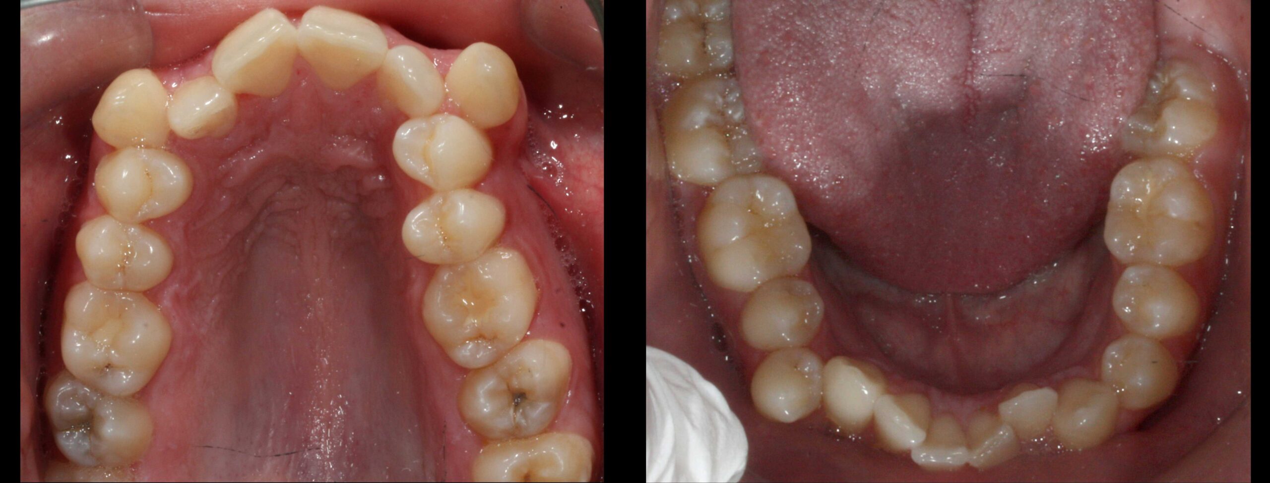
आणि माझा अंदाज खरा ठरला सानवीची दुखणारी दाढ खूप किडलेली होती. तिला थोडीशी सूज पण आली होती ;पण बाकी न दुखणाऱ्या दातांची परिस्थिती पण फारशी चांगली नव्हती. बरेच दात किडले होते.
लगेच काळजीच्या सुरात तिच्या आजीने विचारले ,”पण तिला खायला वगैरे जमेल ना ?सध्या नुसतं मऊ मऊ किंवा लिक्विडच घेते आहे ती ….तेही थोडंसं ”
” हो काकू , पण तिच्या या दातांची ट्रीटमेंट करावी लागेल “
” आजोबा दात पडणारच आहे ; पण तिच्या वयाच्या दहाव्या ते बाराव्या वर्षापर्यंत ”
” एवढ्या उशिरा कुठे? ती सहा वर्षांची झाली आहे . आता पडतात ना दुधाचे दात?”
” हो काका , सहाव्या वर्षापासून दुधाचे दात पडायला हळूहळू सुरुवात होते व पडण्याची प्रक्रिया बाराव्या वर्षापर्यंत सुरू असते. बारा वर्षे दुधाच्या दाढा पडतात त्यामुळे आता चार-पाच वर्ष तरी ही दाढ तिला जेवण चावण्यासाठी लागणार आहे . दाढाच नसतील तर ती जेवेल काय? आणि मग तिची वाढ कशी होणार? त्यामुळे तिच्या सर्व दाढा गरजेप्रमाणे रूट कॅनल ट्रीटमेंट किंवा फिलिंग करून वाचवायला हव्यात ”
” त्या पेक्षा काढूनच टाका ना मग.. .. नाहीतरी चार-पाच वर्षांनी नवीन दात येणारच आहे ना” सानवी च्या बाबांनी लगेच सुचवलं”
” अहो दुधा चे दात फक्त अन्न चावण्यासाठी नसतात ; ते नवीन येणाऱ्या पक्क्या दातांसाठी जागा सांभाळून ठेवतात . जर ते वेळेआधीच काढले तर बाकीचे दात शिफ्ट होऊन पक्क्या दातांना पुरेशी जागा उरत नाही , मग ते वाकडे तिकडे येतात. त्यामुळे केव्हाही शक्यतो दुधाचे दात वाचवणं चांगलं”
” ‘पण तिची दाढ एवढ्या लहानपणी कशी काय एवढी खराब झाली?” सानवी च्या आईचा प्रश्न आला
पुढे काय झालं ते पुढील भागात……

0 Comments