डेन्टल एक्स रे-2
मागच्या भागात आपण दातांच्या इंट्रा ओरल म्हणजे तोंडात फिल्म किंवा त्यांचा ठेवून घेण्याच्या एक्स-रे बद्दल वाचलं .
आता एक्स्ट्रा ओरल एक्स-रे बद्दल थोडसं…
या प्रकारच्या एक्स-रे म्हणजे तोंडाच्या आत कुठलीही फिल्मच्या सेंसर ठेवला जात नाही . गरज असेल तर
तोंडाबाहेर फिल्म ठेवली जाते
एक्स्ट्रा ओरल एक्स-रे चे प्रकार
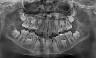
1) पॅनोरमिक एक्स-रे-
यात एकाच एक्स-रे मध्ये आपले वरचे खालचे सर्व दात ,जबडा , जबड्याचा सांधा, वरच्या जबड्याजवळ असणारा सायनस हे सर्व दिसते.
तसेच लहान मुलांच्या बाबतीत तोंडात उगवलेले दात व जबड्यामध्ये नव्याने तयार होणारे दात हे सर्व देखील व्यवस्थित बघता येते
2)Cephalogram
यात जबड्याचा व डोक्याचा एका बाजूने एक्स-रे काढला जातो.
विशेषतः दात पुढे असणे किंवा दातांना तार लावण्याच्या ट्रीटमेंटच्या आधी व नंतर हा एक्स रे काढावा लागतो
3)सी टी स्कॅन म्हणजे टोमोग्राम
यात साध्या एक्स रे मधे ( पॅनोरामिक किंवा इंट्रा ओरल )ज्या गोष्टी सहजासहजी दिसून येत नाहीत त्या बघता येऊ शकतात
उदाहरणार्थ खालच्या अक्कलदाढेच्या जवळून एक महत्वाची नस जाते पण इंट्राओरल किंवा पॅनोरमिक एक्स-रे मध्ये ती अक्कलदाढेच्या मुळांमुळे झाकली जाऊ शकते
त्या नसेची अचूक जागा, ती मुळांच्या किती जवळ आहे
हे कळण्यासाठी सिटीस्कॅन ची म्हणजेच टोमोग्राम ची मदत होते
मग अशी अक्कलदाढ काढताना, त्या नसेल धक्का न लागू देता काळजीपूर्वक दाढ काढण्याचे
प्लॅनिंग करता येतं.
4) कोन बीम सिटीस्कॅन
हा थ्रीडी म्हणजेच त्रिमितीय सिटीस्कॅन असतो. यात आपल्याला हव्या असलेल्या जबड्याच्या भागाची थ्रीडी प्रतिमा मिळते.
दाढ किंवा जबड्यांच्या कठीण सर्जरी किंवा इम्प्लांट साठी अशा सिटीस्कॅन ची गरज पडू शकते.

0 Comments