डेन्टल एक्स रे
आज मी एका काकूंना चेक करून म्हटलं की , “या दाताचा एक्स रे लागेल”
त्यावर त्यानी विचारलं की ,”त्यासाठी कुठे जावे लागेल?”
त्यावर मला हसू आले…
मी लहान असताना मला आठवतंय ; की एकदा मी माझा दुखरा दात घेऊन डेंटिस्टकडे गेले होते .तेव्हा डेंटिस्टने मला सांगितले की, “या दाताचा एक्स-रे काढण्याची गरज आहे” त्यासाठी मला एक्स-रे ची छोटी फिल्म घेऊन एक्स-रे क्लिनिक मध्ये (जिथे छाती, हात, पायांचे एक्स-रे काढले जातात )तिथे पाठवण्यात आले .मग तिथून माझ्या दाताचा काढलेला एक्स-रे घेऊन मी डेंटिस्ट कडे दाखवायला आले होते. त्या एक्सरेनुसार मग माझ्या दाताची रूट कॅनल ट्रीटमेंट करावी लागेल असा निष्कर्ष काढून मग डेंटिस्टने ट्रीटमेंट सुरू केली होती.
ही साधारण वीस वर्षांपूर्वीची गोष्ट असावी …पण आता मात्र डेंटल क्लिनिक मध्ये दातांचा छोटा एक्स-रे घेणारी मशीन क्लिनिकचा अविभाज्य घटक बनलेली आहे .
तसेच हल्ली फिल्म ऐवजी सेंसर चे आधुनिक तंत्रज्ञान दातांच्या एक्स रे काढण्यासाठी वापरले जाते. ज्यामुळे लगेच कॉम्प्युटरच्या स्क्रीनवर एक्स-रे दिसतो व फिल्म धुण्याची कटकट वाचते.
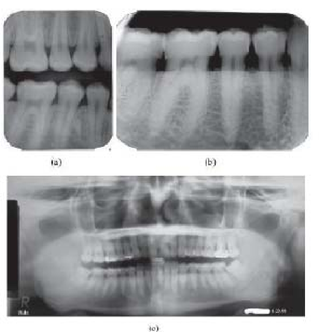
दातांची तपासणी करताना एक्स-रे घेण्याची गरज बऱ्याच कारणांसाठी पडू शकते उदाहरणार्थ –
1)दातांना कीड लागली आहे की नाही किंवा कीड नसेपर्यंत पोहोचली आहे की नाही ते बघण्यासाठी
2) दातांची मुळे बघण्यासाठी
3)लहान मुलांमध्ये दुधाच्या दात व तयार होणारे पक्के दात या दोघांची परिस्थिती जाणून घेण्यासाठी
4)दातांचे आधीचे केलेले काम जसे की रूट कनाल वगैरे कसे आहे हे जाणून घेण्यासाठी
5)दातांच्या मजबुती बद्दल जाणून घेण्यासाठी
आणि हो…
रूट कनाल ट्रीटमेंट करताना एक्स- रे चे मार्गदर्शन सतत लागते.
सामान्यतः क्लिनिक मध्ये असणारे मशीन व सेंसर हे इंट्रा ओरल एक्स-रे घेणारे असतात ज्यात फिल्म किंवा सेंसर हे पेशंटच्या तोंडात ठेवून काही ठराविक दातांचा एक एक्स रे निघतो.
एक्स्ट्रा ओरल म्हणजे दातांचा बाहेरून जबड्याचा फोटो घेणाऱ्या एक्स-रे घेणाऱ्या मशीन सही उपलब्ध आहे त्यांच्याबद्दल पुढील भागात….

0 Comments