पहिली पक्की दाढ …
आज 14 नोव्हेंबर…बाल दिन … त्यानिमीत्ताने हा लेखन प्रपंच…
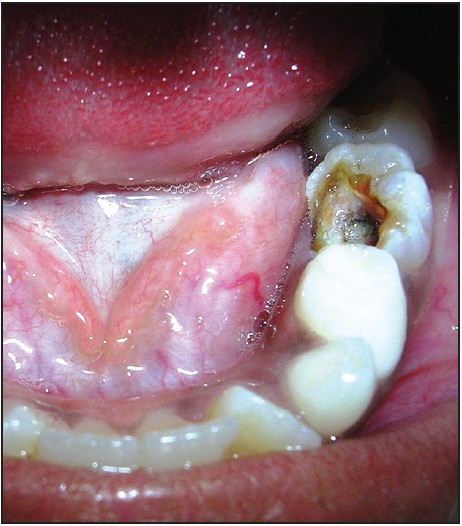
दातांच्या दवाखान्यात डेंटिस्टला बऱ्याचदा अनुभव वाला येणारा प्रसंग …
दाढदुखी घेऊन आलेल्या मुलाचं / मुलीचं वय असतं साधारण नऊ ते 14 वर्षे…
चेकअप केल्यानंतर….
मी : दात नसेपर्यंत किडलेला आहे ; ह्याला रूट कॅनल ट्रीटमेंट म्हणजे नसचा इलाज करून वाचवावे लागेल , त्याशिवाय दुखणे जाणार नाही
पेशंटची आई किंवा वडील: अहो, पण हा तर दुधाचा दात आहे; हा पडेल ना आता…
मी : अहो, नाही… ही त्याची पक्की दाढ आहे ; दुधाची दाढ नाही.
हीच काढून टाकली तर त्याला/तिला नवीन दाढ येणार नाही.
आई /वडील : अहो नाही मॅडम , ही दाढ अजून पडायची आहे
पेशंटच्या आई वडिलांचा असा गैरसमज होण्याचं कारण असं की, आपल्या तोंडातली पहिली पक्की दाढ ही वयाच्या सहाव्या वर्षीच, सर्व दुधाच्या दातांच्या मागे हजेरी लावते. कुठलीही दुधाची दाढ न पडता ही दाढ येते .
त्यामुळे बऱ्याचदा ती आल्याचं आई-वडिलांच्या लक्षात येत नाही. त्यामुळे ती किडली असं दिसलं तरी दुधाचेच दात आहेत, पडेल…. म्हणून दुर्लक्ष केलं जातं किंवा अलीकडच्या दुधाच्या दाताच्या कॅव्हिटी मध्ये जेवण अडकून ही मागची पक्की दाढसुद्धा कधी कधी खराब होते (सुक्याबरोबर ओलं जळतं तसं)
अशावेळी आम्ही आई-वडिलांना समजावतो की ही पक्कीच दाढ आहे.
दुधाच्या दाढा पडून त्यांच्या जागी उपदाढा किंवा छोट्या दाढा येतात. मात्र वयाच्या सहाव्या वर्षी पहिली पक्की दाढ आणि बाराव्या वर्षी दुसरी पक्की दाढ येते ;सर्व दुधाच्या दाढांच्या मागे… अलीकडच्या दुधाच्या दाढा जर अजून पडायच्या असतील तर एक्स-रे मध्ये त्याखाली येण्यासाठी तयार असलेली पक्की दाढ सुद्धा दिसते पण पक्क्या दाढेच्या खाली अशी कुठलीच दाढ नसते; हे आम्ही दाखवतो .
हे टाळण्यासाठी खरं म्हणजे लहान वयापासूनच मुलांचे दर सहा महिन्यांनी दातांचे चेकअप करून घेणे गरजेचे असते ; म्हणजे दुधाच्या दातांमधल्याही कॅव्हिटी लवकर ओळखता येतात .त्यांचा लवकर इलाज करता येतो. नवीन आलेल्या पक्क्या दाढांना देखील कॅव्हिटी होण्याआधीच ; खबरदारी म्हणून ” सील ” करता येते.
म्हणजे त्या दाढा भविष्यात किडण्याची शक्यता खूप कमी होते.
कधीकधी मारामुळे नसेला हि इजा पोहोचते मग अशावेळी मी दुखरी नस रूट कैनाल ट्रीटमेंट करून काढून टाकावी लागते व गरजेनुसार दातामध्ये फिलिंग किंवा कॅप करून दात वाचवला जातो आणि smile सुद्धा पहिल्यासारखं करता येतं
कधीकधी मारामुळे दात एवढा जास्त तुटतो की त्याला वाचवणे शक्य नसते अशा दाताला काढूनच टाकावे लागते असा दात बसवण्यासाठी मग ब्रिज किंवा इम्प्लांट करता येऊ शकतो

0 Comments